
Niet iedereen weet wat artrose is, daarom raken mensen in de war in behandelingsmethoden en begrijpen ze de principes van de diagnose van pathologie niet. Arthrose is een ernstige dystrofische overtreding die de laesie van kraakbeenweefsels in de intraarticulaire holte veroorzaakt. De complexiteit van therapie wordt geassocieerd met de onomkeerbaarheid van processen, een volledige remedie in het kader van de moderne geneeskunde kan niet worden bereikt, maar de ernst van de symptomen kan worden verminderd en de progressie van de pathologie kan vertragen. Met de juiste behandeling zet een persoon lange tijd de gebruikelijke levensstijl voort.
Wat is artrose?
Evenzo is het eenvoudiger dat artrose voor de ziekte een ziekte is van de gewrichten die de beperking van de amplitude van beweging en pijn veroorzaakt. Bij de eerste fase van schade zijn er geen manifestaties, hebben ze een lichte ernst en afgewassen. Geleidelijk vordert de pathologie, dit wordt vergemakkelijkt door leeftijdsgerelateerde veranderingen in het lichaam, stress, verwondingen, enz. Volgens de statistieken, ongeveer 80% van de bevolking van meer dan 60 jaar oud door artrose.
De artrose van het gewricht ontwikkelt zich lange tijd, aanvankelijk alleen het hyaline -kraakbeen beïnvloedt en verspreidt zich vervolgens naar de botten, omvat de synoviale schaal, spieren en de gehele gewrichtscapsule. In het eerste of vroege stadium van artrose wordt de laesie enigszins gemanifesteerd: kleine pijnen na hard werken, zwelling, roodheid van de huid. Vanwege het negeren van ongemakkelijke sensaties, is het gewricht vervormd, ontstoken, brengt ernstige pijn, hun piekvallen in de ochtend. De ziekte wordt gekenmerkt door het verdwijnen van pijn na de ontwikkeling van het gewricht. Indien niet behandeld, verliest een persoon de mobiliteit van het gewricht volledig.

Er is een primaire en secundaire vorm van artrose. Pseudo-artrose (neoartrose) wordt ook onderscheiden- niet veel mensen weten wat het is, omdat het minder vaak wordt gevormd dan andere variëteiten. Neoarthrose is een vals gewricht, dus kraakbeenweefsel neemt toe op een ongebruikelijke plaats waar schade werd verkregen. Het is moeilijk te behandelen, voornamelijk chirurgisch.
Er is een pathologie als gevolg van aandoeningen van regeneratieve functie, immuniteit of mechanische schade. Vanwege verschillende oorzaken van kraakbeen wordt het dunner. In normale staat ontvangt kraakbeenstof voldoende voeding voor herstel, maar na overmatige fysieke inspanning of vanwege een schending van metabole processen hebben de stoffen geen tijd om te regenereren. In de eerste fase blijft er gezamenlijke mobiliteit. Na te hebben overwogen wat artrose als een definitie is, is het de moeite waard om in meer detail te verdiepen in de ontwikkeling van de pathologie.
Het ontwikkelingsmechanisme van artrose, de typen ervan
Veel soorten artrose ontwikkelen zich volgens een soortgelijk schema:
- De primaire laesie beïnvloedt het hyalinekraakbeen. In het geval van bloedsomloop treedt de achteruitgang van pathologische kracht op. Het is de eerste stap of oorzaak, die artrose kan optreden.
- Hyalin -coatingpathologieën. Het dunner worden van het kraakbeen leidt tot de vervanging van zijn pathologische weefsels - botstructuren.
- Afwijkende gezwellen verschijnen op kraakbeen - osteofyten.
- De ontstaande schending van de natuurlijke anatomie van het kraakbeen en botten veroorzaakt de overbelasting van gezonde gebieden van kraakbeen. De vernietiging van articulaire weefsels zonder behandeling gaat constant vordert en leidt tot handicap.
Wanneer de mate van ziekte toeneemt, worden pathologische processen nog steeds verergerd. Uiteindelijk wordt al het hyalinekraakbeen vernietigd.
De laatste graad van de ziekte leidt tot:
- Betrokkenheid bij het pathologische proces van botten, onder en boven de kraakbeenoppervlakken;
- irritatie van een gezamenlijke schaal, beperkende mobiliteit, wat leidt tot een handicap van 2 graden;
- verhoogde capsuledichtheid;
- Het verminderen van de kloof in de opening van het gewricht, dat merkbaar wordt op de foto. Het stadium van de overtreding wordt bepaald door de diagnostisch-tantgenoloog. De patiënt voelt de complexiteit of onvermogen om het ledemaat volledig recht te zetten en te buigen;
- Gezamenlijke vervorming, kraakbeen verwerft een onregelmatige vorm, die kromming uitlokken;
- Verslechtering in de toestand van de patiënt met volledige vernietiging van gewricht.
Stadia van artrose
Gewrichtsziekte heeft 3 ontwikkelingsstadia:

- 1 graad. Morfologische aandoeningen zijn al begonnen, maar ze zijn nog niet merkbaar. Pathologie beïnvloedt voornamelijk de toestand van synoviale vloeistof, die slechter kraakbeenweefsels levert met voedingscomponenten, waardoor de sterkte van het kraakbeen wordt verminderd. De belasting op de gewrichten veroorzaakt ontsteking en pijn.
- Fase 2. Vanwege het aanbodgebrek worden de benodigde cartridges vernietigd, worden botgroei gevormd op het oppervlak van het kraakbeen. De pijnen verwerven een meer uitgesproken karakter, intensiveren na een lange rust, worden geëlimineerd door kleine fysieke arbeid. Pijn gaat gepaard met ontsteking. De spieren zijn uitgerekt, wat leidt tot zwakke of gemiddelde verminderde motorfuncties.
- 3 graad. Vaak zijn er pijnen, het is moeilijk om het ledemaat te verplaatsen vanwege veranderingen in het gewricht. De laesies zijn uitgebreid, worden merkbaar voor de naakte look. De vervorming van de gezamenlijke site treedt op, het getroffen gebied zwelt op en wordt rood. De ledemaatas is verstoord, wat leidt tot de complexiteit van beweging. Pathologische veranderingen veroorzaken het verkorten van de ligamenten. Subbsuzen en contracturen verschijnen. De aangrenzende spieren worden ingekort of uitgerekt, waaruit de contractiele functie is verzwakt.
Oorzaken en risicofactoren voor de ontwikkeling van artrose
De oorzaken van artrose van de gewrichten verschillen afhankelijk van de vorm van pathologie. Vervormende artrose van het ellebooggewricht, enkelgewricht en schouderartrose ontwikkelen zich soms zonder merkbare oorzaken, het is mogelijk om ze te detecteren met een arts, een specialist in reumatologie. Als het probleem niet werd voorafgegaan door zichtbare pathologieën, wordt de ziekte primair genoemd. De secundaire vorm van overtreding wordt voornamelijk gediagnosticeerd, het kan verschillende staten uitlokken.
De belangrijkste redenen voor ontwikkeling:
- Mechanische schade: dislocaties, fracturen, strekken, meniscusletsels;
- een aantal endocriene aandoeningen geassocieerd met storingen in het werk van immuniteit;
- metabolisme pathologieën;
- dysplasie (aangeboren afwijkingen van articulaire weefsels);
- leed ontsteking van de gewrichten;
- Pathologieën die leiden tot een hoge mobiliteit van de gewrichten en verzwakking van de ligamenten.
Patiënten met artrose kwamen meestal een ziekte tegen vanwege predisponerende factoren:
- Leeftijdsgerelateerde veranderingen;
- Lichtgewicht en verhoogde BMI. Hoge belasting op het gewricht leidt tot snelle gewrichtslijtage;
- Gebrek aan nuttige stoffen;
- Overmatige belasting op de gewrichten. De reden is intense training, sport, hard fysiek werk;
- Moeilijke werkomstandigheden of een onjuiste benadering van sport. Als er een geschiedenis is van een genetische neiging tot schade, gewrichtsletsels of soortgelijke ziekten, is het belangrijk om zich te houden aan een speciaal trainingsprogramma, waarbij traumatische en moeilijke oefeningen worden vermeden;
- De postoperatieve periode van herstel of verzonden complexe bewerkingen geassocieerd met de excisie van een groot deel van de getroffen stoffen. Dergelijke toestanden hebben een negatieve invloed op de gladheid en sterkte van het kraakbeen, de belasting moet erop worden geminimaliseerd;
- Genetische neiging, artrose wordt vaker gediagnosticeerd bij patiënten met familieleden met dezelfde pathologie;
- Het stadium van de postmenopauze, komt ongeveer 50 jaar bij bij vrouwen, wordt geassocieerd met veranderingen in het endocriene systeem;
- het destructieve effect van gifstoffen;
- Slechte milieusituatie in de regio van de verblijf;
- Frequente schade aan het gewricht, soms verschijnen microscheuren niet lang;
- hypothermie;
- Pathologie van het lumbale en cervicale deel van de wervelkolom.
Primaire artrose

Primaire artrose wordt onafhankelijk gevormd, dat wil zeggen zonder de invloed van interne of externe oorzaken. De nederlaag ontwikkelt zich vrij langzaam door het Hyalin -kraakbeen. Het wordt zelden gediagnosticeerd, het is goed voor slechts 3-5% van alle gevallen.
Secundaire artrose
Secundaire artrose wordt meestal gedetecteerd door een volgorde van 95-96% van de gevallen. Ze worden uitgelokt door een van de bovenstaande pathologieën.
Tekenen en symptomen van artrose
De manifestaties van de ziekte verschillen weinig, afhankelijk van de lokalisatie, vaker worden de tekenen weerspiegeld op de knieën, schouder- en heupgewrichten, vanwege een hoge belasting.
Meestal komen klachten neer op:
- pijn. Ze hebben een lage ernst in het beginstadium, met verergering van de sensatiestaat intensivering. Aanvankelijk kwamen de gewrichten alleen maar pijn na het wakker worden, na een lichte warme -up, verdwijnen de sensaties. Na verloop van tijd verschijnen de pijnen 's nachts, ze verstoren enorm tijdens en na langdurige wandelen, rennen, enz. In de laatste fase streeft het pijnsyndroom altijd een persoon;
- Beperkte amplitude van bewegingen. De stijfheid van acties duidt op anatomische veranderingen in de structuur. Eerst manifesteert het zich in de ochtend, dan zijn dagelijkse bewegingen beperkt. Om de verergering van de aandoening niet uit te lokken, moet het werk divers en licht zijn, anders zal de patiënt niet in staat zijn om het ledemaat na verloop van tijd te ontkoppelen en te persen. Na verloop van tijd is er een risico op contract, waaruit een persoon het motorvermogen verliest;
- Kroon tijdens bewegingen - het behoort tot de niet -specifieke manifestaties van artrose. De ziekte wordt gekenmerkt door het optreden van crunch in een enkel gewricht (behalve polyarthrose), vergezeld van een ongemak, pijn en beperkte acties. De aard van de stroom is golfachtig - in eerste instantie manifesteert het zich zwak, geleidelijk intensiveerd, maar in 3 fasen verdwijnt;
- zwelling van roodheid. Het is gelokaliseerd in de buurt van het zieke gewricht, dit duidt op een ontstekingsproces en progressie van de ziekte. De arts begrijpt dat de synoviale schaal wordt beïnvloed, dit veroorzaakt de accumulatie van vloeistof en verhoogde pijn;
ledematen vervormingen. Verschijnt in een verwaarloosde vorm van de ziekte, duidt op de volledige vernietiging van kraakbeenweefsel en het verschijnen van osteofyten. In deze toestand neemt de druk op de gewrichten bovenaan en onder toeneemt, waaruit de kromming het gehele ledemaat kan beïnvloeden.
Het is belangrijk om te onthouden dat de vervorming van de botten op het been vaak wordt verward met de maïs. Het symptoom is op het eerste gezicht pas slecht gevaarlijk, maar leidt tot ernstige gevolgen.
Complicaties
Aanvankelijk worden conservatieve therapiemethoden gebruikt voor de behandeling. Als ze niet effectief zijn of de patiënt de aanbevelingen van de arts negeerde, bestaat er een risico op gevolgen.
Mogelijke complicaties:
- Het gewricht is volledig vernietigd;
- Het ledemaat is geïmmobiliseerd, alle bewegingen worden uiterst moeilijk;
- intervertebrale hernia's;
- onbekwaamheid;
- Sterke vervorming van het gewricht of het gehele ledemaat.
Diagnose van artrose
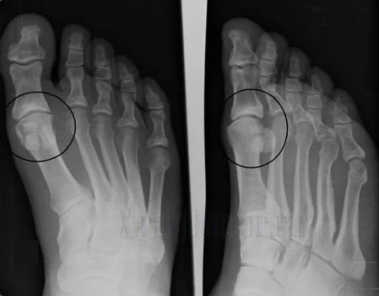
Om een diagnose te stellen, bestuderen reumatologen de klachten van de patiënt en schrijven ze een X -Ray -onderzoek voor. Meestal wordt radiografie gebruikt in 2 projecties. De arts kijkt naar de aanwezigheid van dystrofische aandoeningen in hyalinekraakbeen en botgewrichten. Als de articulaire opening wordt verminderd, de botten vervormd of afgeplat worden, zijn er cystische formaties op het oppervlak van het kraakbeen, osteofyten zijn duidelijke tekenen van artrose. Tijdens de inspectie geeft artrose de instabiliteit van het gewricht aan: de as van de ledematen en subluxatie is verstoord.

Vaak kan een X -Ray -afbeelding geen volledige informatie geven over de toestand van het gewricht. Voor een grondiger onderzoek wordt computertomografie voorgeschreven, het is effectief voor het onderzoeken van botten. MRI wordt vaker gebruikt om zachte weefsels te bestuderen.
Tijdens de diagnose wordt de betrokkenheid van andere specialisten beoefend die de oorzaak van de pathologie zal helpen bepalen. Vaak vaak hun toevlucht tot overleg van een hematoloog, endocrinoloog, gynaecoloog, orthopedisch.
Moderne behandeling
Er zijn honderden manieren van artrosetherapie, maar ze komen allemaal neer op een aantal methoden:
- Medicijnbehandeling. De belangrijkste taak is om symptomen te bestrijden en verdere ontwikkeling van een overtreding te voorkomen. Meestal worden analgetica gebruikt om pijn, niet -steroïde ontstekingsremmende medicijnen te verlichten om ontstekingen te bestrijden, hormonale medicijnen worden voorgeschreven voor ernstige pijn en acute ontsteking. Elke cursus is gebaseerd op chondroprotectoren die kraakbeenstoffen beschermen tegen vernietiging, natuurlijke stoffen worden gebruikt voor hun productie;
- fysiotherapie. Verbetert de effectiviteit van medicijnen, gevechten met ontsteking, verlicht symptomen, versnelt weefselregeneratie. Meestal gebruikte ultrasone, elektrische, magnetische, lasertherapie. Dit omvat ook modderbaden, toepassingen met natuurlijke materialen, radonbaden;
- Medische lichamelijke opvoeding. Het is nuttig zowel als een preventie als het vergemakkelijken van de aandoening. Na de juiste fysieke oefeningen is het mogelijk om de pijn volledig te elimineren. Het is handig om het zwembad te bezoeken, yoga aan te gaan en vaak te lopen;
- Handmatige therapie, massage zal helpen bij de behandeling van de ziekte, omdat ze bijdragen aan het voorkomen van kromming van de gewrichten. Na verwondingen kan de handmatige therapeut het gewricht nivelleren, waardoor zijn fixatie in de verkeerde positie wordt voorkomen. Na massage wordt spiertonus verbeterd, wordt de bloedcirculatie versneld;
- Juiste voeding. Een gezond dieet zal helpen om het lichaam te verrijken met voedingsstoffen voor kraakbeen en het lichaamsgewicht te verminderen. Een grote massa verhoogt de slijtage van de gewrichten;
- De behandeling met sanatorium-resort zal de gewrichten versterken. In het kader van genezing worden sanatoriums balneotherapie, inspanningstherapie, fysiotherapeutische procedures aangeboden, enz.;
- Niet -traditionele therapie. Voor de behandeling van artrose, hutten, aard-, aph- en kruidengeneeskunde, evenals acupunctuur en verschillende volksrecepten worden gebruikt;
- Chirurgische interventie is de enige manier om terug te keren naar het gebruikelijke leven in de derde fase van de ziekte. Met endoprotthetics kunt u het patiëntkraakbeen vervangen door het implantaat. Het enige nadeel van de operatie zijn de hoge kosten. Eén procedure is voldoende voor 15-20 jaar.
Preventieve maatregelen
Zodat de artrose van het gewricht niet op oudere leeftijd de moeite neemt, staat:
- een gezonde levensstijl behouden;
- voorkom sterke belastingen;
- observeer een dieet;
- Slechte gewoonten uitsluiten;
- Dagelijks gymnastiek uitvoeren;
- Volg het gewicht.
Arthrose is een gevaarlijke ziekte die veel gemakkelijker te voorkomen is dan genezen. Met het tijdig zoeken naar een arts en naleving van de behandelingsregels, kan de patiënt lange tijd een bekende levensstijl handhaven. Het gebrek aan therapie en zelfmedicatie veroorzaakt de snelle verergering van de ziekte en uiteindelijk handicap.






















